

Cas Cliniques
Sur cette page, vous découvrirez des photographies illustrant les résultats avant et après divers traitements.
Cas d'implants dentaires
Cas 1
Réhabilitation mandibulaire sur implants
Le patient présente un cas spécial d'absence congénitale de plusieurs dents, qu'il n'a jamais eu depuis la naissance. Des implants ont été posés sur la mandibule et des implants seront également réalisés sur le maxillaire à l'avenir. Nous partagerons les photos ultérieurement.
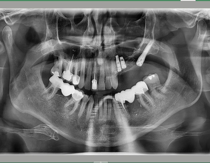
Cas 2
Pose implants dentaires

Cas 3
Pose implants dentaires

Cas 4
Réhabilitation mandibulaire complète avec des implants classiques + plaques mandibulaires complètes
Cas 5
éhabilitation maxillaire complète avec des implants classiques
Cas 6
Prothèse maxillaire transvissée implanto-portée
Le patient, initialement porteur d'une prothèse amovible qu'il ne supportait pas, a opté pour un traitement implantaire. Cette solution fixe, plus confortable et fonctionnelle, répond parfaitement à ses besoins en termes de stabilité et d'esthétique.
Cas 7
Pose implants dentaires
Avant l'extraction

Après la pose des implants

Réhabilitation sectorielle à l'aide de deux implants classiques et d'un implant disque.
L'extraction des dents 35, 36 et 37 a été réalisée, suivie par la pose des implants dans la même séance. Le recours à un implant disque a été nécessaire en raison d'une résorption osseuse sévère.
Cas 8
Dans le cadre de ce cas clinique, le choix de l’implantation ptérygoïdienne a été privilégié pour plusieurs raisons, tant biologiques que fonctionnelles.
1. Optimisation des délais de traitement
La technique du sinus lift implique un délai de cicatrisation de 6 à 9 mois avant la mise en place des implants, afin de permettre la consolidation de la greffe osseuse. En revanche, l’implantation tubéro-ptérygoïdienne permet une mise en charge plus rapide, réduisant ainsi le temps global du traitement et améliorant l'efficacité thérapeutique.
2. Gestion de l’atrophie osseuse postérieure
En présence d’une résorption osseuse sévère, l’ancrage des implants ptérygoïdiens dans une région anatomiquement stable permet de contourner la nécessité d’un apport osseux externe. Cette solution optimise la répartition des forces occlusales et limite les risques de surcharge mécanique, garantissant ainsi une stabilité prothétique durable.
3. Amélioration du confort et de l’acceptabilité du traitement
La réduction du nombre d’interventions chirurgicales et du temps de cicatrisation constitue un avantage significatif pour le patient. Par ailleurs, ce dernier a exprimé une préférence pour une approche moins invasive et plus rapide, rendant le choix des implants ptérygoïdiens particulièrement adapté à ses attentes.
Cas 9
La perte osseuse liée à une lésion péri-apicale est un processus lent mais destructeur, marqué par une résorption progressive de l’os alvéolaire autour de la racine infectée.
Lorsque l’infection s’installe au niveau péri-apical, le corps réagit par une réponse inflammatoire. Les bactéries libèrent des toxines qui stimulent les ostéoclastes, cellules responsables de la résorption osseuse. Sous leur action, l’os, d’abord compact et résistant, commence à se désagréger.
Peu à peu, la trame minérale se dissout, les cavités se creusent. Raison pour laquelle on a choisi de poser 4 implants clasique mai surtout un implant disque.
A la fin du traitement le patient a pu retrouve ses fonctions masticatoire.
Cas 10
Une couronne unitaire sur implant est une solution durable et esthétique pour remplacer une dent absente sans affecter les dents voisines.
Elle imite parfaitement l’apparence et la fonction d’une dent naturelle, offrant un confort optimal à la mastication.
Grâce à l’implant qui sert de racine artificielle, elle prévient la résorption osseuse et maintient l’intégrité de l’os alvéolaire.
Contrairement aux bridges, elle ne nécessite pas de tailler les dents adjacentes, préservant ainsi la structure dentaire naturelle. Facile d’entretien, elle assure une excellente longévité avec une hygiène bucco-dentaire adaptée.
Cas 11
Remplacement de la 34 35 36 avec des couronnes implanto-portée
Cas 12
Réhabilitation avec des couronnes 👑 implanto porté

Cas 13
Couronne implanto porté unitaire
Cas 14
Réhabilitation maxillaire complète avec des implants classiques
Cas 15
Extraction, implantation et pose des vis de cicatrisation réalisées en une seule séance.
Une mise en charge prothétique différée a été effectuée trois mois après l’intervention, conformément au protocole établi.
Malgré l’âge avancé de la patiente (87 ans), la stabilité primaire obtenue a permis une cicatrisation sans complication, avec un suivi post-opératoire simple.

Cas 16
Couronnes en zircones implanto

Cas 17
All-on-5 mandibulaire (bas)

Avantages du All-on-5 mandibulaire (bas)
Os mandibulaire plus dense
L'os de la mandibule est souvent plus compact et résistant, ce qui permet de garantir une bonne stabilité même avec seulement 5 implants.
Moins d'invasivité et de coût
Réduire à 5 implants permet de limiter les frais, les temps chirurgicaux, et les risques liés à des interventions plus complexes sans compromettre la stabilité dans la majorité des cas.
Distribution optimale des forces
Avec un bon positionnement (implants postérieurs inclinés), 5 implants suffisent souvent à supporter une prothèse complète fixe de manière sûre et durable.
Pourquoi cette combinaison (All-on-6 haut / All-on-5 bas) ?
Elle s’adapte à l’anatomie osseuse spécifique de chaque arcade.
Elle optimise la stabilité prothétique tout en réduisant les coûts et la complexité là où c’est possible (en bas).
Elle est souvent préconisée par les cliniciens en cas de perte osseuse modérée au maxillaire mais bonne densité osseuse mandibulaire.
All-on-6 au maxillaire (haut)

Avantages du All-on-6 au maxillaire (haut)
Meilleure stabilité prothétique
Le maxillaire (haut) a un os généralement moins dense que la mandibule. Utiliser 6 implants permet une répartition des forces plus équilibrée, assurant une meilleure stabilité à long terme.
Réduction du risque de surcharges
Plus d'implants = moins de pression sur chacun → Moins de risque de complications mécaniques ou biologiques (péri-implantite, dévissage, etc.).
Meilleure ancrage dans un os parfois atrophié
En répartissant les implants à différents angles, notamment en zygomatique si nécessaire, on peut compenser une perte osseuse maxillaire.
Meilleur soutien pour une arcade plus large
L’arcade maxillaire est souvent plus large, nécessitant une portée plus longue, justifiant les 6 implants pour éviter la flexion de la prothèse.
Cas 18
Les dents 22 et 23 ont été remplacées par des couronnes implanto-portées afin de restaurer l'esthétique du sourire, qui joue un rôle clé dans la communication, l'image de soi et le bien-être au quotidien

Cas 19

Il s'agissait d'un cas complexe, avec plusieurs dents mobiles liées à une maladie parodontale avancée. Après un diagnostic précis, nous avons procédé à l'extraction des dents atteintes. Grâce à une technique avancée d'implantologie guidée, nous avons pu les remplacer par un bridge implanto-porté. Le résultat final est remarquable, tant sur le plan fonctionnel qu'esthétique
Cas 20

La dent 47 joue un rôle essentiel dans la mastication, en supportant une grande partie des forces occlusales. En cas d'édentation, un implant avec couronne permet de restaurer efficacement la fonction masticatoire. Il prévient également la migration des dents adjacentes et antagonistes, entraînant ainsi des déséquilibres occlusaux. De plus, la couronne sur implant contribue à maintenir l'os alvéolaire, préservant ainsi l'intégrité de l'arcade dentaire.
Cas 21

Ce cas illustre une réhabilitation quasi totale du maxillaire et de la mandibule à l'aide d'implants dentaires.
Les dents naturelles, compromis par une maladie parodontale avancée, ont été extraites.
Une planification implantaire guidée a permis une mise en place précise des implants, optimisant leur position et leur stabilité.
Des bridges implanto-portés ont été utilisés pour restaurer l'esthétique et la fonction occlusale.
Cette solution offre un confort masticatoire proche des dents naturelles et améliore significativement la phonation.
Elle permet également de préserver l'os alvéolaire, limitant la résorption osseuse à long terme.
Le résultat final est fonctionnel, stable et esthétique, apportant au patient une qualité de vie remarquable.
Cas 22

Réhabilitation sectorielle implanto-prothétique réalisée à l'aide de piliers personnalisés (custom abutments) et de couronnes en zircone.
Le traitement a permis de restaurer les secteurs édentés avec une solution fixe, esthétique et durable.
Les piliers individualisés assurent une émergence optimale, favorisant la stabilité gingivale et l'harmonie du profil prothétique.
Les couronnes en zircone offrent une excellente intégration esthétique, tout en garantissant une résistance mécanique élevée.
La planification numérique a permis une mise en œuvre précise et prévisible du traitement.
Le patient a retrouvé une fonction masticatoire confortable, ainsi qu'un sourire naturel et harmonieux.
Cette approche allie exigence esthétique, précision technique et durabilité prothétique.
Cas 23
Les images illustrent un cas de restauration unitaire sur implant dans la zone antérieure, consécutive à un traumatisme dentaire.
L'extraction de la dent lésée, la pose de l'implant ainsi que l'installation de la vis de cicatrisation ont été réalisées selon un protocole rigoureusement coordonné.
Après une période d'intégration de 4 mois, le patient a conservé de la couronne définitive, retrouvant ainsi pleinement la fonction et l'esthétique de son sourire.
Cette intervention met en valeur l'apport de l'implantologie moderne dans la réhabilitation esthétique rapide des zones antérieures touchées par des traumatismes.
Cas 24
L'image présente une couronne unitaire récemment scellée sur un implant dans la zone latérale maxillaire.
L'intégration prothétique est bien réalisée, avec une adaptation gingivale correcte et une esthétique fonctionnelle.
La restauration apporte stabilité et confort masticatoire dans une zone édentée postérieure.
Le résultat met en évidence une solution simple mais efficace pour la restauration d'une dent unitaire absente sur implant.
Cas 25
Cas très complexe de résorption osseuse.
Dans le quadrant 4, trois disques implantaires ont été utilisés, et dans le quadrant 3, une plaque disque ainsi qu'un implant classique ont été posés.
Par ailleurs, au niveau du maxillaire, deux implants conventionnels ont été utilisés.
La patiente portait auparavant deux prothèses amovibles. Grâce à la combinaison d'implantologie classique et d'implantologie basale, elle bénéficie désormais d'une prothèse fixe.
Cas 26
"De la frustration à la liberté : Comment le Dr. Iordan a transformé le sourire d’un patient avec un bridge en zircone sur 5 implants parfaitement placés !"
Imaginez un patient épuisé par la lutte quotidienne avec un dentier mobile inconfortable — un appareil qui glisse, irrite et transforme même les actions les plus simples, comme manger ou rire, en un véritable défi. Ça vous parle ? Eh bien, c’était le passé. Aujourd’hui, ce même patient est ravi, confiant et sans douleur, grâce à un bridge innovant en zircone, soutenu par cinq implants placés avec une précision millimétrique — une solution révolutionnaire signée par le Dr. Iordan, le spécialiste de confiance pour des solutions dentaires personnalisées et de classe mondiale, ici même, dans notre région.
Pourquoi ce bridge en zircone est-il le choix ultime ? Voici l’histoire : Quand un dentier mobile devient insupportable, la stabilité et le confort deviennent des priorités. Ce bridge en zircone, ancré sur cinq implants positionnés de manière stratégique, offre une fondation solide et équilibrée. Plus de glissements, plus d’irritations — juste une confiance totale pour manger, parler ou sourire.
La zircone n’est pas seulement résistante — elle est presque indestructible. Contrairement aux matériaux traditionnels, elle résiste aux fissures, aux cassures et à l’usure, garantissant que ce bridge est conçu pour durer toute une vie. En plus, elle est plus douce pour les dents opposées, protégeant ainsi la santé bucco-dentaire à long terme.
Et parlons de beauté : son aspect translucide, similaire à celui des dents naturelles, s’intègre parfaitement à votre sourire. Personne ne devinera qu’il ne s’agit pas de vos vraies dents — juste un sourire éclatant et plein de confiance.
La zircone est également biocompatible et douce pour les tissus, sans risque d’irritation ou d’allergie. C’est le choix parfait pour ceux qui veulent le meilleur, sans compromis.
Et le meilleur dans tout ça ? Cette solution premium n’a pas coûté une fortune. Avec cinq implants placés stratégiquement pour un soutien maximal, le Dr. Iordan a optimisé le plan de traitement pour offrir des résultats haut de gamme à un coût accessible. Plus de sourires, moins de stress — c’est une victoire à tous les niveaux.
La différence Dr. Iordan : Une expertise en laquelle vous pouvez avoir confiance
Ce rend cette histoire à succès si spéciale ? L’engagement inlassable du Dr. Iordan pour l’excellence. Grâce à des formations continues dans les instituts dentaires les plus avancés d’Europe, il ne se contente pas de suivre les tendances — il apporte l’avenir de la dentisterie directement à ses patients. Son expertise en pose d’implants, conception numérique du sourire et restaurations en zircone garantit que chaque patient reçoit une solution personnalisée qui change sa vie.
"Je n’aurais jamais cru être aussi heureux avec mes dents !" — c’est ce que nous entendons de la part des patients qui ont fait la transition. Plus d’adhésifs pour dentiers, plus de gêne — juste la liberté, la fonctionnalité et un sourire qui illumine la pièce.
Cas 27
Un sourire sans compromis : Le bridge en HPIES avec implants ptérygoïdiens, uniquement chez le Dr. Iordan
Si vous rêvez d’un sourire naturel, fonctionnel et durable, les bridges en HPIES représentent la solution idéale. Ce matériau moderne imite parfaitement l’aspect des dents et des gencives, offrant à la fois une esthétique irréprochable et un confort maximal. Résistant et léger, l’HPIES vous permet de manger, parler et sourire sans restrictions, tout en conservant ses propriétés dans le temps.
Un avantage majeur réside dans les implants ptérygoïdiens, qui assurent une fixation stable du bridge sans nécessiter de sinus lift, réduisant ainsi les coûts et les risques de l’intervention. La procédure devient plus rapide et moins invasive, et la récupération est bien plus facile.
Le Dr. Iordan est le seul spécialiste de la région à proposer cette solution innovante, grâce aux formations internationales qu’il suit en permanence pour offrir à ses patients les techniques les plus avancées.
L’entretien du bridge est simple, comme pour des dents naturelles, et le matériau ne se tache pas facilement. Avec cette solution, vous retrouvez non seulement un sourire magnifique, mais aussi la confiance de vivre sans compromis.
Cas de reconstructions de sourire
Cas 1
Réhabilitation avec couronnes en zircone
Cas 2
Réhabilitation avec couronnes en zircone




































































































